Osteomalacia (soft bones - ricket in children) – Vitamin D occurs 87 times in PDF, but not once in the abstract
Bone histomorphometry in the evaluation of osteomalacia.
Bone Rep. 2018 Mar 17;8:125-134. doi: 10.1016/j.bonr.2018.03.005. eCollection 2018 Jun.
Bhan A1, Qiu S2, Rao SD2.
Osteomalacia definitions
* Osteomalacia Wikipedia
* "Osteomalacia in children is known as rickets , and because of this, use of the term "osteomalacia" is often restricted to the milder, adult form of the disease"
* Mayo Clinic: Osteomalacia refers to a marked softening of your bones, most often caused by severe vitamin D deficiency
* Arthritis UK Osteomalacia often develops because of a lack of vitamin D.
* It can cause bone pain and muscle weakness.
* In children it used to be called rickets, but nowadays it more often affects adults
Bone Fractures
* Hip fracture 58 percent more likely if low vitamin D – meta-analysis March 2017
* Acute fracture patients – 70 percent were vitamin D deficient – meta-analysis Sept 2015
* Vitamin D and fractures – 24 meta-analyses and counting – Dec 2014
* Wonder how many meta-analyses will be needed before there is a change?
* Bone fractures in children requiring surgery were 55X more likely with low vitamin D – June 2015
* 1 in 3 died after hip fracture but only 1 in 14 if add Vitamin D and exercise – RCT April 2017
* Risk of death after bone fracture was 6.6 X higher if less than 10 ng of vitamin D – June 2017
📄 Download the PDF from VitaminDWiki
With the widespread use of measurement of bone mineral density to detect, diagnose, and monitor therapy in the management of osteoporosis, bone histomorphometry has largely been relegated to research settings and academic pursuits. However, bone density measurement cannot distinguish between osteoporosis and other metabolic bone disorders such as different types of osteomalacia, osteitis fibrosa, renal osteodystrophy, hypophosphatasia, and Paget's disease of bone. Furthermore, bone density test cannot tell us anything about microarchitecture of bone, tissue level dynamics, bone cellular activity, bone mineralization and bone remodeling, understanding of which is essential to make a specific diagnosis of a suspected metabolic bone disease, to evaluate beneficial (or adverse) effects of various therapies, treatment (medical or surgical) decisions in hyperparathyroid states. As a research tool, bone histomorphometry contributed immensely to our understanding of bone biology, revolutionized the study of the mechanism of actions of various therapies, and provided crucial understanding of the adverse effects of drugs.
A few of the occurrences of Vitamin D in the PDF
“The history is highly suggestive of osteomalacia due to vitamin D deficiency considering the poor intake of calcium and vitamin D …”
“Although the biochemical findings are suggestive of severe vitamin D deficiency and secondary hyperparathyroidism, no specific cause for vitamin D deficiency was found.”
“A diagnosis was made of severe nutritional vitamin D deficiency osteomalacia due to poor calcium and vitamin D intake and the lack of sunlight exposure because of progressive debility.”
“The dose of vitamin D was progressively reduced as her serum alkaline phosphatase and PTH levels returned towards normal and serum 25-hydroxy vitamin D levels increased. Within 2-3 months, her symptoms improved dramatically and she was able to ambulate without a cane”
“Fourth, if vitamin D deficiency osteomalacia is not detected early, there is irreversible cortical bone loss (Parfitt et al., 1985a) and increased life-time fracture risk”
“Worldwide, nutritional vitamin D deficiency remains the most common cause of osteomalacia, numerically the most frequent, and occurs almost exclusively in parts of the world where vitamin D deficiency is endemic (Bhan et al., 2010; Basha et al., 2000a)”
“The two principle mechanisms by which osteomalacia develops are: vitamin D deficiency (nutritional or malabsorption), as adequate vitamin D is required for mineralization of newly laid down matrix….”
“fter the discovery of vitamin D , it became obvious that almost all “bone softening” conditions were due to vitamin D deficiency, and by implication, osteomalacia became synonymous with any condition that could be cured by vitamin D but not necessarily caused by its deficiency.”
“Nutritional vitamin D deficiency osteomalacia, as defined, occurs only when the serum 25-hydroxy vitamin D level falls below 10ng/ml,…”
“Distinction between different types of osteomalacia is important since not all varieties respond to vitamin D therapy”
“All patients with vitamin D deficiency osteomalacia have serum 25-hydroxy vitamin D levels < 10ng/ml, but not all with low 25-hydroxy vitamin D levels have osteomalacia”
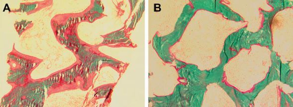
Title: Vitamin D Deficiency Osteomalacia Before (A) and After (B) Treatment with Vitamin D

- Caption: Bone histomorphometry in the Case Vignette. Note wide and extensive osteoid before treatment (A) and almost complete disappearance of osteoid after treatment (B ).
Osteomalacia vs Rickets - SLIDESHARE
