Fewer white spots in MRI brain scans if had more vitamin D
Association of White Matter Hyperintensities with Low Serum 25-Hydroxyvitamin D Levels
American Journal of Neuroradiology
J.M. Prager, jprager@northshore.org, C. Thomas, W.J. Ankenbrandt, J.R. Meyer, Y. Gao, A. Ragin, S. Sidharthan, R. Hutten and Y.G. Wu
From the Department of Radiology (J.M.P., W.J.A., J.R.M., R.H., Y.G.W.), NorthShore University Health System, Evanston, Illinois; Department of Endocrinology (C.T.), University of Chicago, Chicago, Illinois; Departments of Statistics (Y.G.) and Radiology (A.R.), Northwestern University, Evanston, Illinois; and Department of Radiology (S.S.), Monmouth Medical Center, Long Branch, New Jersey.
BACKGROUND AND PURPOSE: Vitamin D deficiency is associated with cognitive impairment in the elderly and with increased white matter T2 hyperintensities in elderly debilitated patients. We investigated the relationship between serum vitamin D and brain MR findings in adult outpatients.
MATERIALS AND METHODS: Brain MR studies of 56 patients ages 30–69 years were selected when vitamin D level had been obtained within 90 days of the MRI. White matter T2 hyperintensities were characterized by size and location by two neuroradiologists. Manual volumetric analysis was assessed in patients more than 50 years of age.
RESULTS: The entire cohort showed a significant negative relationship between serum 25-hydroxyvitamin D and the number of confluent juxtacortical white matter T2 hyperintensities (P = .047). The cohort ages 50 years and older showed stronger correlation between confluent white matter T2 hyperintensities and serum 25-hydroxyvitamin D in the juxtacortical region; number (P = .015) and size of white matter T2 hyperintensities (P = .048). Atrophy was not significantly related to serum 25-hydroxyvitamin D by radiologist visual analysis or by the bicaudate ratio.
CONCLUSIONS: We found a significant relationship between vitamin D and white matter T2 hyperintensities in independent adult outpatients, especially over the age of 50 years.
📄 Download the PDF from VitaminDWiki
VitaminDWiki observation and hypothesis
Fact: Hyperintensities (low blood flow) are fewer in those with lots of vitamin D (see above)
Fact: Multiple Sclerosis Hyperintensities go into remission with lots of vitamin D (see below)
Fact: Hypertensities predict Dimentia, Mortality, and Stroke (BMJ 2010, below)
Fact: Vitamin D prevents dimentia, mortality, and stroke
Hypothesis: Will be able look at brain scans, and not wait for dimentia, mortality, or stoke to determin how much vitamin D is needed.
See also VitaminDWiki
Vitamin D remyelinates rats (perhaps remyelinates human MS) – Dec 2019
Multiple Sclerosis – more gray matter and fewer relapses if 10 ng more vitamin D – Oct 2015
Brain lesions might be associated with vitamin D deficiency – March 2012
Stroke – many MRI measures are strongly associated with low vitamin D – Jan 2015 discusses lesions
Brains of seniors had 60 percent more white matter abnormalities if low vitamin D – March 2015
Bipolar Disorder may be related to cellular, not blood Vitamin D - reports on hyperintense area with Bipolar Disorder
Following strokes, brain scans (MRI) 3X worse in those having low vitamin D – July 2018
Appears that Vitamin D can induce remission in recent Multiple Sclerosis Less hyperintense areas on MRI after LOTS of vitamin D
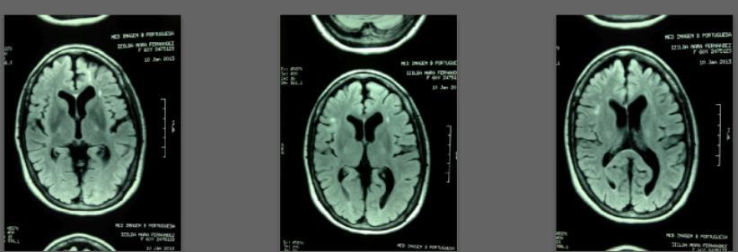
Before = 2008

Starting daily dose 25,000 IU; increased in stages to 80,000 IU on October 28, 2010. Asymptomatic since 2010.
After = 2013

See also web
- Hyperintensity Wikipedia Jan 2014
- They are usually seen in normal aging but also in a number of neurological disorders and psychiatric illnesses.
- For example deep white matter hyperintensites are 2.5 to 3 times more likely to occur in bipolar disorder and major depressive disorder than control subjects.
- What Is White Matter Hyperintensity? WiseGeek
- No matter where in the brain it occurs, white matter hyperintensity reflects what is called demyelination, a deterioration of neural pathways caused by decreasing blood flow and/or disease.
- Alzheimer's disease, strokes, multiple sclerosis and heart disease.
- Also referred to as brain rust,
- The clinical importance of white matter hyperintensities on brain magnetic resonance imaging:
systematic review and meta-analysis BMJ July 2010, PDF at bottom of this page
Hyperintensity = 1.9X increased chance of getting Dimentia

Hyperintensity = 2.0X increase chance of Death

Hyperintensity = 3.5X increased chance of getting a Stroke
