Vitamin D prevents smoke lung damage in mice (If you must smoke, take vitamin D)
Effect of Vitamin D3 on Lung Damage Induced by Cigarette Smoke in Mice
Open Med (Wars). 2019; 14: 827–832, . doi: 10.1515/med-2019-0096
Xin Zheng,*,1 Nini Qu,1 Lina Wang,1 Guoli Wang,1 Rui Jiao,1 Hu Deng,1 Sijia Li,2 and Yibing Qin2
📄 Download the PDF from VitaminDWiki
Far less inflammation @ 16 weeks in mice getting Vitamin D

Almost as low inflammation as "non-smokers"
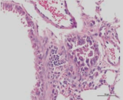
Lung microphotograph - normal

Lung microphotograph after 16 weeks of smoke

Lung microphotograph after 16 weeks of smoke and Vitamin D

Cigarette smoking is known to induce serious lung diseases, but there is not an effective method to solve this problem. The present study investigated vitamin D3 on over-expression of CXCR3 and CXCL10 in mice induced by cigarette smoking. A pulmonary airway model was designed, and morphological assessment of emphysema, IL-4, IFN-γ and CXCL10 concentration in bronchoalveolar lavage fluids, expression of CXCR3 and CXCL10 were detected. Emphysema of the mice only exposed to cigarette smoke was significant, and concentration of IL-4, IFN-γ and CXCL10 was also increased. In addition, CXCR3 and CXCL10 were over-expressed. The degree of emphysema, concentration of IL-4, IFN-γ and CXCL10, and expression of CXCR3 and CXCL10 in mice administrated with low dose vitamin D3 were similar to the normally treated mice. Low dose of vitamin D3 can effectively protect the lung from the damage induced by cigarette smoke.
References
Spira, A., Beane, J., Shah, V., et al., Effects of cigarette smoke on the human airway epithelial cell transcriptome. Proc. Natl. Acad. Sci. US A 2004, 101(27) :10143-10148. doi:10.1073/ pnas.0401422101
Talukder, M.A., Johnson, W.M., Varadharaj, S., et al., Chronic cigarette smoking causes hypertension, increased oxidative stress, impaired NO bioavailability, endothelial dysfunction, and cardiac remodeling in mice. Am. J. Physiol. Heart Circ. Physiol. 2011,300 :388-396. doi:10.1152/ ajpheart.00868.2010
D’Hulst, A.I., Vermaelen, K.Y., Brusselle, G.G., Joos, G.F., Pauwels, R.A., Time course of cigarette smoke-induced pulmonary inflammation in mice. Eur. Respir. J., 26:204-213. doi:10.1183/09031936.05.00095204
Sopori, M. Cigarette smoke on immune system. Nature, 2: 372-377.
R.Stampfli, M., P.Anderson, G. Cigarette smoke lung desease and cancer. Nature, 2009, 9:377-384.
Wang, J.M., Liu, W., Marion, C., et al., Interleukin-15 regulates retinoic acid beta in the lung during cigarette smoking and influenza virus infection. Am. J. Respire. Cell Mol. Boil.,2015, 53(6) :822-823. doi: 10.1165/rcmb.2014-0448OC
Weigt, S.S., Derhovanessian, A., Liao, E., et al., CXCR3 chemokine ligands during respiratory viral infections predict lung allograft dysfunction. Am. J. Transplant, 2012,12:477-484. doi: 10.1111/j.1600-6143.2011.03859.x
Shen, D.Q., Cao, X.X., Potential role of CXCR3 in proliferation and invasion of prostate cancer cells. Int. J. Clin. Exp. Pathol., 2015,8(7): 8091-8098.
Wijtmans, M., Scholten, D., Mooij, W., et al., Exploring the CXCR3 Chemokine Receptor with Small-Molecule Antagonists and Agonists. Top. Med. Chem., 2014,14:119-185. doi:10.1007/7355201475
Li, Y., Reader, J.C., Ma, X., Kundu, N., Kochel, T., Fulton, A.M.,Divergent roles of CXCR3 isoforms in promoting cancer stem-like cell survival and metastasis. Breast Cancer Res. Treat., 2015,149: 403-415. doi:10.1007/s10549-014-3229-7
Dong, S., Zhang, X., He, Y., et al., Synergy of IL-27 and TNF-alpha in regulating CXCL10 expression in lung fibroblasts. Am. J. Respir. Cell Mol. Biol., 2013. 48(4): 518-530. doi:10.1165/rcmb.2012-0340OC
Groom, J.R., Luster, A.D., CXCR3 in T cell function. Exp. Cell Res., 2011, 317(5): 620-631. doi:10.1016/j.yexcr.2010.12.017
Giovannucci, E.,The epidemiology of vitamin D and cancer incidence and mortality: a review. Cancer Cause Control, 2005,16:83-95.
Robsahm, T.D., Tretli, S., Dahlback, A., Moan, J., Vitamin D3 from sunlight may improve the prognosis of breast-, colon- and prostate cancer. Cancer Cause Control, 2004.,15:149-158.
Armas, L.A., Hollis, B.W., Heaney, R.P.,Vitamin D2 is much less effective than vitamin D3 in humans. J. Clin. Endocrinol. Metab., 2004,89(11): 5387-5391. doi:10.1210/jc.2004-0360
De, Cunto, G., Cardini, S., Cirino, G., Geppetti, P., Lungarella, G., Lucattelli, M., Pulmonary hypertension in smoking mice over-expressing protease-activated receptor-2. Eur. Respir. J., 2011,37: 823-834. doi:10.1183/09031936.00060210
van der Vaart, H., Postma, D.S., Timens, W. ten Hacken, N.H.,Acute effects of cigarette smoke on inflammation and oxidative stress: a review. Thorax., 2004,59:713-21.
Piemonti, L.,Vitamin D3 Affects Differentiation, Maturation, and Function of Human Monocyte-Derived Dendritic Cells. J. Immunol., 2000,164:4443-4451. doi:10.4049/ jimmunol.164.9.4443
Pu, Y., Li, S., Zhang, C., Bao, Z., Yang, Z., Sun, L.,High expression of CXCR3 is an independent prognostic factor in glioblastoma patients that promotes an invasive phenotype. J. Neurooncol., 2015,122:43-51. doi:10.1007/s11060- 014-1692-y
McPhee, C.G., Increased expression of Cxcr3 and its ligands, Cxcl9 and Cxcl10, during the development of alopecia areata in the mouse. J. Invest. Dermatol., 2012,132(6):1736-1738. doi:10.1038/jid.2012.17
Romagnani, P., Crescioli, C., CXCL10: a candidate biomarker in transplantation. Clin. Chim. Acta., 2012,413:1364-1373. doi:10.1016/j.cca.2012.02.009
Jiang, D., Long-term exposure of chemokine CXCL10 causes bronchiolitis-like inflammation. Am. J. Respir. Cell Mol. Biol.,2012,46(5):592-598. doi:10.1165/rcmb.2011-0116OC
Liu, M., CXCL10 in infectious diseases pathogenesis and potential therapeutic implications. Cytokine Growth Factor Rev.,2011,22(3):121-130. doi:10.1016/j.cytogfr.2011.06.001
Ostvik, A.E., Enhanced expression of CXCL10 in inflammatory bowel disease: potential role of mucosal Toll-like receptor 3 stimulation. Inflamm. Bowel. Dis., 2013,19: 265-274. doi:10.1002/ibd.23034