Multiple Sclerosis Coimbra Protocol stories on Facebook
See also
High-dose vitamin D forum – for Multiple Sclerosis and many other diseases – Jan 2019
Multiple Sclerosis and Vitamin D ~ 50,000 Facebook members in 13 languages – Jan 2017
Multiple Sclerosis and (lots of) Vitamin D - book by patient on Coimbra protocol - Feb 2016
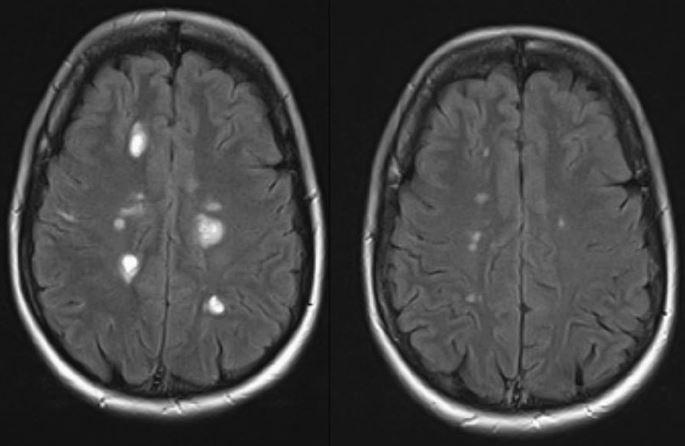
Vitamin D has already cleared 100 percent of lesions from over 1,000 MS patients in Brazil
Vitamin D has treated Multiple Sclerosis and autoimmune diseases for 16 years – Coimbra April 2018
Guide for patients on high doses of Vitamin D – Coimbra 2017
Comparing High-dose vitamin D therapies Coimbra and 3 others
Overview of 400 patients - takes longer if had MS longer or feel stressed - Feb 2019
Christina Kiening Facebook Feb 24, 2019
"I recently spent another week of training with my doctor at Dr. Coimbras practice in Sao Paulo. We talked about our experience after roughly two years of establishing the protocol in Germany and seeing about 400 cases of MS patients in my doctors practice. We have the impression that long lasting cases of ppms take a bit longer to react to the protocol which Dr. Coimbra stated to be true / his own experience, too.
With rrms it is usually true that two to three dose adjustments and roughly 6-8 months is all it takes to get into stable remission and see massive improvements that erase the symptoms acquired during the last two years prior to treatment - sometimes people even see older symptoms improve.
With ppms it seems to be a bit trickier to find the right daily dose that will stop the progression while keeping calcium and other levels in a healthy balance. Until this process is successful the progression often goes on. Daily doses seem to be higher in most ppms patients / PTH is somewhat „stubborn“. So it often takes 12 -18 months until remission kicks in and only then patients start to see improvement - slowly. As slow as the disease progressed it will start to improve.
We asked for possible reasons or „tuning possibilities“. One major factor is trying to find a positive state of mind and stable psyche. ...it is scientifically proven that negative emotions like fear, anger, sadness or ongoing worries will promote inflammation in the brain. This may sound like an „easier said than done“ thing. At my doctors practice we have started to suggest specific psychotherapists and / or stress-prevention techniques like mindfulness based stress reduction, any kind of meditation or progressive muscle relaxation. Some patients will gain a lot from specific trauma-therapy like EMDR. Dr. Coimbra also recommends acupuncture as a way of relaxation. Recently Dr. Coimbra started to look deeper into the biochemistry and genetics of patients with ppms."
MS and Kidneys much better after 2.5 years on Coimbra - Dec 2018
Translated from German by Google
Christina Kiening, Admin ·18 hrs
Last week, after 2 years and 8 months of Coimbra Protocol, I did a blood test out of line. I was a bit worried because in recent months, because of acute diverticulitis, I had to take several antibiotics and strong painkillers, and I was worried that my kidneys or liver had been affected.
With Dr. Reichert, I discussed yesterday the results and we analyzed my kidney, liver and inflammation Recent years, even from the two years before the Coimbra Protocol, when my MS was quite raging. At that time, besides taking high-dose frankincense and turmeric, I also regularly took cannabis and strong painkillers, had corticosteroid therapy in the push and because of the highly active course, I was on MRI with contrast agent every six months in 2015 and 2016 - the kidneys had a lot to do ...
Nevertheless, we were quite surprised that my kidney function values have improved since the beginning of the protocol:
⁃ Start investigation 03/16 before starting Coimbra protocol: Creatinine in serum 0.9 mg / dL and GFR 80 ml / min
⁃ Control investigation 11/18: Creatinine 0 , 7 mg / dL and GFR 103 ml / min. The filtration performance has increased.
In the meantime, I had two ultrasound examinations of my kidneys and there were no irregularities.
By the way, we have in the practice of Dr. med. Demuth already set a few patients with lupus and prior kidney damage to the Coimbra protocol (as we initially had a bit of jitters and more closely monitored whether the kidneys could withstand a possible extra load of more calcium). These patients also showed a significant improvement in kidney function within one year.
Conclusion: When adhering to the low-calcium diet and sufficient drinking volume, the Coimbra protocol is usually not only harmless to the kidney health, but it can even improve in individual cases.
13 years of MS, then protocol, now painless, giving up on his other MS doctors - Dec 2018
Translated from German by Google
Hello together
It's been a year since I got into the protocol. I would like to tell you something about it at the beginning of the protocol, and now
I've had the ms for 13 years, and she was always quiet, but four years ago, everything broke. My legs started shaking, and I got a clone, and there what inexplicable pain. They ranged from my right to the hip and were only a strong opiate could help. I ended up in a wheelchair which was really hard at the beginning for me but now I accepted it. At the same time, my arms started shaking, and I could not write any more, let alone grab anything. This ataxia became so strong that she made my arms tremble in sleep mode. I have a brake in the voice. In the end, my eyes were broken, I got a nystagmus, so I could not see anything anymore.
Then I came to the protocol and all my problems I had to give a drink and a half liter of milk i always had a retreat and with the hospital. Then I had to wear a catheter. It was so slow, and I was devastated.
Then everything got better. My pain went slowly, it took a few months, but now I'm painless . The trembling in my legs and the associated clonus stopped. I'm still in a wheelchair, but now I've accepted that. My arms are no longer shaking in sleep, but only in the brain. So I do not see anything anymore, but I can not write or do anything else. Then my voice became good again during a simple call. The nystagmus in my eyes has not gone yet
I am now away from my maintenance and my thoughts are now moving outside the protocol. I have been thinking about what I need to do with my protocol. In March I have my MRI appointment and then I know more.
I'm done with most of my doctors . You've done everything possible to dissuade me from the protocol. You do not see my progress, and I'm still going to go like this. Well, I know how I am and I wake up with a smile every day.
I thank again everyone who has made this possible and who has an autoimmune disease only to come to the protocol
Frustrated that other MSers refuse to consider into Vitamin D - Oct 2018
Janae Christine Arnold - Facebook
Just a thought I feel I need to get off my chest. I know people around me with MS. One woman in particular comes to mind. I explained it to her briefly. But everyone just kind of shrugs it off as not important. I'm hoping my MRI results this March will help change some minds. Physically I feel so much better. I never realized how much fatigue I had before and thought it was normal. Just a feeling of sinking into the couch or bed. Different then anything I've ever felt. No more fatigue, no more lehmerittes sign, no relapses.. I've seen so many amzing testimonals and science backs it up. Makes me want to pull out my hair seeing how many people don't look into it.
Protocol success with daughter in college - Aug 2018
Coimbra Vitamin D Protocol For MS & Autoimmune Disorders
My daughter has M.S. but is able to live as she doesn't, thanks to the Coimbra Protocol. She prefers to not do Facebook so I am sharing her progress. Below is what I just sent out to those who are on a prayer list for her. I want to share it with you.... it's really good news!
I’m writing this with Sarah’s permission to give you an update on her health because we know you care about her and have been praying for her.
First some history…. In Oct. 2015 she started having symptoms of numbness in some fingers of her right hand. Doctors suspected carpel tunnel but tests proved that was not the cause. In Feb 2016, after an MRI and spinal tap, she was diagnosed with a progressive form of Multiple Sclerosis and the MRI showed what appeared to be a black hole which is usually permanent brain damage. The neurologist said “you just don’t see a black hole at the first MRI” – that is why he said it was progressive. This news devastated all of us because the normal progression of someone who has progressive M.S. leads to a wheelchair and a very poor quality of life and oftentimes only in a matter of several years. This was not the future we wanted for our daughter.
So, like any mom would do, I started researching… and researching… and researching. What I found were various diets and lifestyles purported to slow or stop the progression of M.S. I read countless scientific studies on M.S. and found tons of research had been done on the positive effects of Vitamin D on M.S. I found studies that said that taking 10,000 I.U./day of Vitamin D helped as much as the current drugs on the market but without the horrible side effects and sometimes permanent damage that can occur from taking the drugs (including death). No drug on the market stops M.S. – usually the most you can hope for is a 30 -40 % reduction in relapses. A relapse can cause temporary discomfort or permanent damage. So even having one is not good. By this time, Sarah had had 4 relapses/attacks including the numbness in her fingers, extreme vertigo which put her in bed, and an electric shock kind of feeling that went down her spine. Thankfully, no permanent damage except for the relentless numbness in her fingers from the first attack. Sarah immediately starting taking 10,000 i.u./day of Vit. D.
My research had also found a treatment called the Coimbra Protocol , created by Dr. Cicero Coimbra, a neurologist in Brazil, which utilizes high doses of Vit. D for autoimmune diseases. I found YouTube testimonies about how it had helped people immensely and before and after videos showing how people were debilitated prior to starting the protocol and the tremendous improvement they had after being on it a while. The neurologist who created the protocol said it puts 95% of M.S. patients in total remission. He said usually a stressful event can trigger the autoimmune disease and it usually only triggers when low in Vit. D. I started researching what vitamin D does in our body and found it works to make our immune system work correctly among other good things. Her neurologist had not tested for Vit. D so we requested that and of course she was extremely low. I thought of all the stress she had been under in the fall when starting her most difficult college semester to date. There is a genetic factor with M.S. and it is in her family. Sarah’s skin her whole life had been covered with sunscreen when outside to avoid skin cancer due to her fair skin so she couldn’t have gotten Vit D from the sun, pretty much ever. It all started making sense as to why she got M.S.. Now, how do we help her?
At an appointment with her neurologist to discuss treatment, I took the studies I had found and wanted his opinion on treating her M.S. with Vit. D instead of the drugs. Well, he was totally against it He went on about how the Vit D studies can show anything they want. In almost the next breath he spoke about how studies prove the drug works. It just didn’t make sense to me since the Vit. D studies were randomized double blind studies just as the drug studies were. We had an appointment with another neurologist just for a second opinion to make sure she had M.S. and to get his opinion on treating with Vit. D. He said she definitely had M.S. and said she would get toxic if she took the amount of Vit. D the protocol uses. More research ensued while it was being set up with the insurance company (which took months) to start Sarah on Plegridy, an every 2 week injection that comes with possible side effects. The Coimbra Protocol made more sense to us than any other option since it provided the best benefits with NO side effects, if done correctly. The decision Sarah needed to make was to
take only the Plegridy,
take both Plegridy and do the Coimbra Protocol, or
do only the Coimbra Protocol.
She decided to do only the Coimbra Protocol because it offered total remission with no side effects but to also take Plegridy until she was on the protocol for 2 months. At the 2 month mark, the Vit. D was supposed to be at the level it needed to be in her body to provide total remission. She took one injection of Plegridy , had a severe allergic reaction, a rash all over her body so had to stop taking that. It was scary. Since starting 10,000 i.u./day of Vit. D in February (and it was now May), Sarah had not had ANY relapses which was astounding!! Remember, in the 4 months prior to starting on Vit. D, she had had 4 relapses.
In May of 2016, we traveled to Florida to a doctor who had been trained by Dr. Coimbra. At that time, Dr. Tannimoto was the only trained doctor in the U.S. Prior to this appointment, Sarah had to get a bone density test, tons of blood work, urine tests, and the MRI to provide a baseline of how things were in her body prior to staring the protocol. She was put on 60,000 i.u./day of Vit. D along with another supplement containing several vitamins. She has to severely restrict her calcium intake, drink 2.5 liters. of liquid a day, and try to exercise 30 minutes a day. She repeats the tests periodically to insure the Vit. D is not hurting her since the dose is so high. All tests to date have shown no adverse reactions. Last year, her MRI showed significant improvement in the area of the black hole and other improvements but there was some progression of the disease evidenced by some additional lesions in her brain. By this time, she had been on the Vit. D protocol for 1 year but had not been fully protected by the Vit. D between the time period of Feb. 2016 and July 2016 (5 months) so the disease progression could have occurred during that time period.
HERE’S THE UPDATE…. She just had her yearly MRI and this time…….. there is “stable appearance to plaques since the previous study”!!!!!!!!!!!!!!!!!!!!!!!! This means there has been NO progression AT ALL since being on the Coimbra Protocol for a full year which means NO new brain damage which means she IS living her life fully as she is supposed to. And she feels better and has more energy than ever! She has her life back and is starting her career as a teacher, her lifelong dream.
I’m sending this to you because I know you care about Sarah but also so you will be informed about the Coimbra Protocol. If you know anyone whose life is being negatively impacted by an autoimmune disease, please tell them about the Coimbra Protocol so they can do their own research. Only a Coimbra Protocol trained doctor should be used. Usually, one can find a local doctor to order the lab work, if required by their insurance.
From what I’ve read, most people, with and without autoimmune diseases, are deficient in Vit. D and can (and should) take 10,000 i.u./day. We can take up to 10,000 i.u./day without having to restrict calcium or get any tests. Vitamin D has been proven to prevent and help autoimmune diseases and prevent many cancers. From what I’ve read, to achieve the most benefit from Vit. D, our blood level needs to be between 60 and 80 ng/ml. I’ve found and read that many doctors are against taking 10,000 i.u./day of Vit. D as they consider that too high. But, your blood level is what should determine how much you need to take as everyone’s body is different. Thousands of people around the world are in remission from autoimmune diseases because of the protocol and doctors can go get trained by Dr. Cicero Coimbra for free in Brazil. Many have. Vitamin D will probably never become a treatment for an autoimmune disease because there is no money in it. Drug companies will most likely fight it tooth and nail. M.S. drugs cost at least $12,000- $20,000/month. Sarah’s Vitamin D costs around $20/month and the other required vitamins are around $80/month . The Vit. D protocol works better for most people and has no side effects if done correctly.
Thank you for praying for Sarah… please continue!! We are thanking God for a normal life and a tremendous future for our sweet Sarah!!!!!! Also, thanking God for Dr. Cicero Coimbra who created the protocol!!!! You do have our permission to share this story. We want people to know there is another (usually more effective) option to treat autoimmune diseases. And we are hoping more doctors in the U.S. will go get trained so that more people can be helped by the protocol.
Lurker (silent reader) on CP for 1 year - translated from German - Nov 2018

I've been more silent with reader so far, but today I want to share my experience with the cp after almost 1 year with you. I would also like to make particularly fresh-diagnosed courage and be an incentive to decide for the CP.
That's why I decided to share a (as I find especially beautiful) MRI comparison (09/2017 /-09/2018).
I have diagnosed ms since 2012, the years after that a rather mild course with barely restrictions until a heavy thrust after the birth of my 2. Daughter In Summer 2017 has completely "torn" within three weeks. I couldn't even stand there, not to mention it, at the thrust peak, I couldn't even turn in the lie from one to the other side. RLS syndrome so bad I thought I was going crazy....
Slept at the time about 3 hours maximum at night. Ata Xien in his hands and feet, couldn't use my hands anymore. Numbness from the chest down, also partly on the head and face. Of course, in the hospital after cortisone infusions and plasmapheresis, I was urgently advised to tysabri, best right now and now. Because it is now "probably" a highly course. But I successfully refused :-D
Because I already knew exactly what "maintenance" I'm going to do, the coimbra protocol :-) I unfortunately didn't hit the cp until after a few searches, and I decided directly to try it out.
Luckily, I had an appointment with Dr. 2 months later. Get Reichert. I didn't have that on and off. With me, the symptoms of the relapse just kept on and on. Today they are almost completely gone. Low numbness in the hands / feet are still there, tight I can go about 1-2 km at the play, then I need a break.
The lesions have been very good, and I think that's especially because they were fresh when I started with the CP. Honestly, I have to say that during the relapse (about 2 months before the official cp start) I already took 40.000 IU Vitamin D.
So again the appeal to the freshly diagnosed: if you start early enough, you have the chance to be completely comfortable! In doubt, you can save yourself with a weeks rehab stay as in my example!
I wish you all the best with the CP!, LG Stefanie
Had MS for 21 years, Discovered CP. Years later feeling great and taking only 300,000 IU of vitamin D daily - Feb 2019
Carmen Campo of Brazil shares her success on the Coimbra protocol
Note Translation appears to be a little rough
"I have multiple sclerosis for 21 years When I discovered the disease the most famous neurologists of São Paulo indicated me use of interferon. I decided not to do the treatment and followed life. The presence of symptoms was subtle, what felt most was fatigue.
Nine years later I had the first outbreak and I was admitted to do the pulsoterapia
From then on I could feel what was the degeneration I heard so much.
I started taking interferon and with him the pain, fever, ailments, vomiting, imbalance, weakness and an indescribable fatigue.
I made use for 4 years and walking 50 meters became a great adventure. This degeneration looked like it really was present in my life.
I had the indication of Dr Cicero and I thought it was good to see what was different
FIRST CONSULTATION 3 hours long
Multiple Sclerosis I already had, the hell of interferon I already lived, why not test something so simple that other people said to be the solution.
Seven months of treatment and then I realize that this fatigue was no longer so present!
And so it was until I decided to mill the interferon
Yeah I started getting better and better
Not to believe I don't feel that anymore.
In the outbreak I had a big scar on the marrow and the symptoms I have today are caused by
Today I take 300.000 IU of vitamin D per day and nothing else!
No meds or pain! People say I'm someone else and so i feel.
Comparing the images of old rm to today note that many scars disappeared.
Just ask in my prayers god bless and protect Dr Cicero Galli Coimbra.
Carmen, Forever grateful.
Neurosurgery student developed MS, completely treated with Coimbra protocol, now doing endurance sports - March 2019
**Otávio Freitas diagnosed in 2009
"In 2009, in my third year in neurosurgery, I developed multiple sclerosis. It was a unique situation: a neurologist with multiple sclerosis.

As a patient with severe and severe disease, today I understand better what it means to be sick of multiple sclerosis. Sure, many of us ms patients have very striking, deep and refreshing stories. I think my way is really strange and interesting, and I want to share it here. I haven't met any other neurologist with multiple sclerosis so far.
This is how my story started with Multiple Sclerosis: I was in 2009 in the third year of neurosurgery stay under a big load, but that was also to be expected. Despite all the training, we are not really prepared for the many difficult emotions, the losses and different confrontations we are exposed to every day. Then one day I developed a strong visual blur on the right eye, and at this moment I went through my head that it could be this degenerative, progressive and degenerative disease, whose development is relentless. There was no ms diagnosis at this time, since it was a first thrust. As a result, we came to the diagnosis of a clinically isolated syndrome (CIS). However, since 80 % of patients developed ms in a row, the treatment began with the famous interferon b1a. It followed a first phase of hopelessness, which was not worse because of my strong denial of the disease, as I continued to try to lead to as normal life as possible, although constant fatigue and weakness are of course significant on the day of the application of the inter and on the respective day of the day Aggravated. I always injected myself in the evening, but even if I had taken 1 G of dipyron before the application, I spent a terrible night with diffuse pain and sometimes even fever. But it got even worse, because the next day the workload was immense and the demand had to be fulfilled to ensure the well-being of patients. I keep on repressed that I was sick. Next year (2010) during a dive, alone under water, shrouded in this silent silence, I felt a tingling in the second and third finger of the right hand. Back then, I took part in a Congress (Brazilian meeting of neurosurgery), and at the end of the event I came back and led an MRI of the entire spinal cord and found a new lesion in the neck in c2. there were no new degenerative lesions in the brain like at First outbreak, but it was the confirmation that I feared the most. I was undoubtedly one of the 80 %, in which the ms followed after the cis.
Now my denial turned into trouble. I couldn't accept that I was supposed to suffer from this complicated disease! And what an irony of fate, because I knew every little detail, every nuance of signs, symptoms and the diverse difficult clinic of this pathology. I kept the treatment without changing the dosage, because the relapses "with great luck" left little symptoms from clinical sight. Some Internal (psychological) processes have already been well solved, but obviously not nearly ideal.
In the following year (2011), when I was already back to my hometown pelotas, I had another optic nerve inflammation. This time it was on the other eye, the left eye. What impressed me the most, was despair in my father's eyes - ironically also a neurologist -, because he could see just like me where this could end and how my life would look like while trying to stay strong For me. When I returned to pelotas, I started a psychological consultation with two fantastic supervisors, which helped me to understand this situation. I was first confused and torn inside, absolutely lost, because in this situation we literally don't know what we can expect from life. The plans are getting blurry, other problems are getting very small, the pleasures are always elusive. I started my own search, like many of my patients too, to understand the reasons, after all, I have always believed in God and know that he is fair. In Short, there was a lot of greetings, inner search and altercation in attempt to understand the reasons and to keep yourself somehow mentally, emotionally and spiritually healthy.

In Mid-2012, I started to practice sports again. In 2012, things changed because I met a doctor who for the first time in a long time brought a new hope into this hurricane that had changed my life. He first started with a conversation about ayurvedic medicine because he had a friend with multiple sclerosis, who had significantly improved after treatment with this old medicine. He spoke of another doctor who recommended the treatment with high doses of vitamin D. It was the first time that a medical colleague discussed alternative treatment options with me. I had already read testimonials related to vitamin D, but they always came from someone who didn't have a medical background. Meanwhile, I have participated in numerous multiple sclerosis events (in Brazil and abroad), Vitamin D was mostly only called on the edge, always very vague, without a specific behandlungsprotokoll, and mostly only in terms of prevention of the MS. Anyway, I decided to follow the idea of the doctor who became my friend soon.
After a consultation with* Dr. Cicero Coimbra in mid-2012 I started the treatment with high doses of vitamin D, and after a few months fatigue and exhaustion left my body. I returned to sport with more enthusiasm and took part in endurance competitions *such as triathlon and a 200 km long cycling race called audax. After three months of the new treatment, I completely renounced interferon, it relieved me very much to be freed from the syringe, especially from everything that belonged to it: pain, fatigue, fever and the constant memory of the severe degenerative disease that is relentless Continue to develop and leave deep traces in our character.
My Long-standing friend became my fiancée, then to my wife, and today we have an almost 2-Year-old daughter. I had no further thrust since the multiple sclerosis broke out eight years ago. I hold in my heart a deep feeling of gratitude for the groundbreaking new treatment that* dr. Cicero Coimbra has provided not only to stop the disease, but also to restore order in chaos *. After such experiences, we never stay the same. The experience of the disease, initially with a thrust per year, allowed me to have a series of very important considerations and inner maturity. Today I am extremely grateful that I am sick of multiple sclerosis, because it has brought me very profound changes in the way I consider life to perceive what is really a problem, and especially to me two unprecedented experiences Taught it.
The first was to be on the other side of the consultation. Because through my own experience as a patient with a severe and limiting disease, today as a doctor, I can understand a lot better what my patients are going through.
The second one was to get out of this condition and find a new way of health, well-being, new ideas and new plans to finally feel alive again! Now I live full of hope in this new medicine and its possibilities.
I hope my example in this short report can encourage many ms patients and bring joy, health and peace to their lives!"
Another doctor with MS treated by CP (not on Facebook)** Dr. Maira Jann Oct 2017
Short URL = is.gd/MS_Stories
This page was renamed on Oct 2018. There have actually been visitors to this page since it was originally made