Following a stroke, 10 ng less vitamin D associated with 2X more white matter hyperintensities
25-Hydroxyvitamin D Status Is Associated With Chronic Cerebral Small Vessel Disease.
Stroke. 2014 Nov 25. pii: STROKEAHA.114.007706. [Epub ahead of print]
Chung PW1, Park KY2, Kim JM1, Shin DW1, Park MS1, Chung YJ1, Ha SY1, Ahn SW1, Shin HW1, Kim YB1, Moon HS1.
1 From the Department of Neurology, Kangbuk Samsung Hospital, Sungkyunkwan University School of Medicine, Seoul, Korea (P.-W.C., Y.B.K., H.-S.M.); Department of Neurology (K.-Y.P., J.-M.K., D.-W.S., M.-S.P., S.-W.A., H.-W.S.) and Division of Endocrinology, Department of Internal Medicine (Y.J.C.), Chung-Ang University Hospital, Chung-Ang University College of Medicine, Seoul, Korea; and Department of Neurology, Haeundae Paik Hospital, Inje University College of Medicine, Busan, Korea (S.-Y.H.).
2 From the Department of Neurology, Kangbuk Samsung Hospital, Sungkyunkwan University School of Medicine, Seoul, Korea (P.-W.C., Y.B.K., H.-S.M.); Department of Neurology (K.-Y.P., J.-M.K., D.-W.S., M.-S.P., S.-W.A., H.-W.S.) and Division of Endocrinology, Department of Internal Medicine (Y.J.C.), Chung-Ang University Hospital, Chung-Ang University College of Medicine, Seoul, Korea; and Department of Neurology, Haeundae Paik Hospital, Inje University College of Medicine, Busan, Korea (S.-Y.H.). kwangyeol.park@gmail.com.
BACKGROUND AND PURPOSE:
The aim of this study was to determine the association between 25-hydroxyvitamin D (25(OH)D) and neuroimaging correlates of cerebral small vessel disease.
METHODS:
We identified 759 consecutive patients with acute ischemic stroke or transient ischemic attack. Lacunes, white matter hyperintensity, and cerebral microbleed (CMB) were assessed using MR images. Deep CMB was defined as the presence of CMB in basal ganglia, thalamus, or brain stem. The association between 25(OH)D and small vessel disease was tested using linear and logistic regression analyses.
RESULTS:
Mean age was 68 (±13) years. Mean level of 25(OH)D was 34.1±17.8 nmol/L.
On bivariate analysis, a 25-nmol/L decrease in 25(OH)D was associated with
lacunes (regression coefficient, 0.23; 95% confidence interval [CI], 0.02-0.45),
severe white matter hyperintensity (odds ratio, 2.05 ; 95% CI, 1.41-3.08), and
deep CMB (odds ratio, 1.28; 95% CI, 1.01-1.63).
Also, 25(OH)D deficiency (≤25 nmol/L) was associated with
lacunes (regression coefficient, 0.5; 95% CI, 0.04-0.95),
severe white matter hyperintensity (odds ratio, 2.74; 95% CI, 1.31-6.45), and
deep CMB (odds ratio, 1.68; 95% CI, 1.03-2.78).
The association remained significant even after multivariable adjustment and in the subgroup of previously healthy patients.
CONCLUSIONS:
25(OH)D is inversely associated with lacunes, white matter hyperintensity, and deep CMB. Our findings suggest that 25(OH)D is linked to small vessel disease, and in future trials it should be tested whether 25(OH)D supplementation can prevent small vessel disease.
© 2014 American Heart Association, Inc.
PMID: 25424481
See also VitaminDWiki
See also web
- The Clinical Importance of White Matter Hyperintensities on Brain Magnetic Resonance Imaging: Systematic Review and Meta-Analysis
- BMJ 2010: associated with future stroke, cognitive decline, dimentia, and increased chance of death, Full free text online
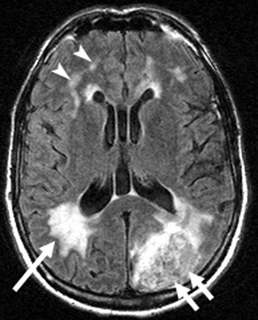
- MRI Brain image from the web - arrows identify white matter hyperintensities
